Fractured tooth Edge
Treatment time: One 45min appointment
Aims & Goals
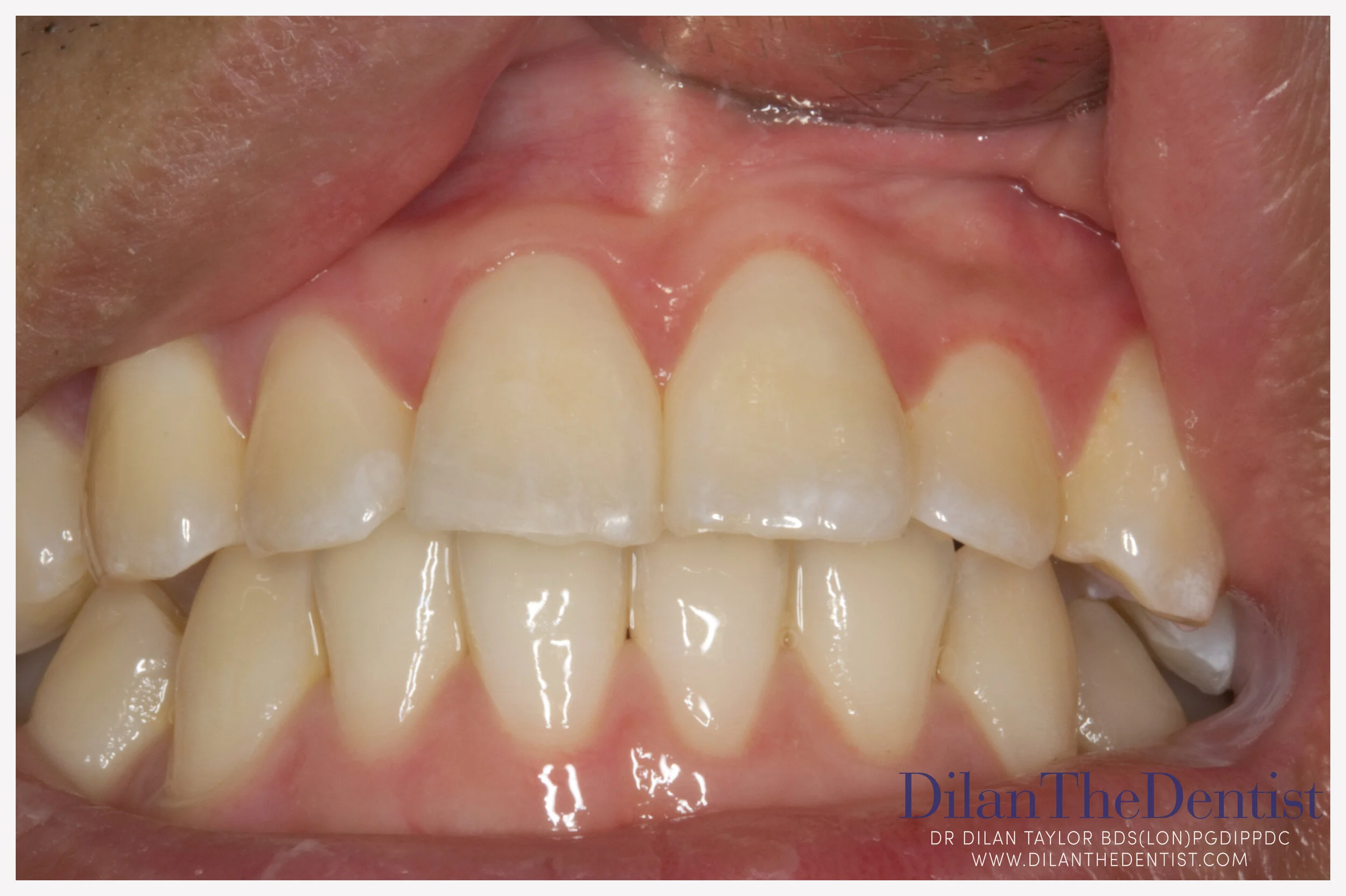
Following a trip and a fall onto the pavement, this patient attended the clinic with her upper right central incisor tooth fractured. Her aim was to repair the obvious fracture, and check to see the severity of the damage to her teeth.
Treatment & Results
For this patient we completed a thorough examination of her teeth, jaws and lips, and thankfully the fracture was not too deep. After a discussion of how we could repair the tooth we decided upon composite bonding. The treatment was a success and the patient was able to once again smile with confidence immediately after her appointment.
Composite Veneers/Bonding for front teeth: from £150-200 per tooth
