Ceramic Onlay
For this, Root Canal Treated first Premolar tooth, a ceramic onlay has been fitted providing longterm protection to the underlying tooth. By working with the best dental technicians, we are often able to have nearly invisible margins between the fit of the ceramic work and the natural tooth. Try clicking on the photo below to see a close up!
All works personally completed by Dr Dilan Taylor
Before
After
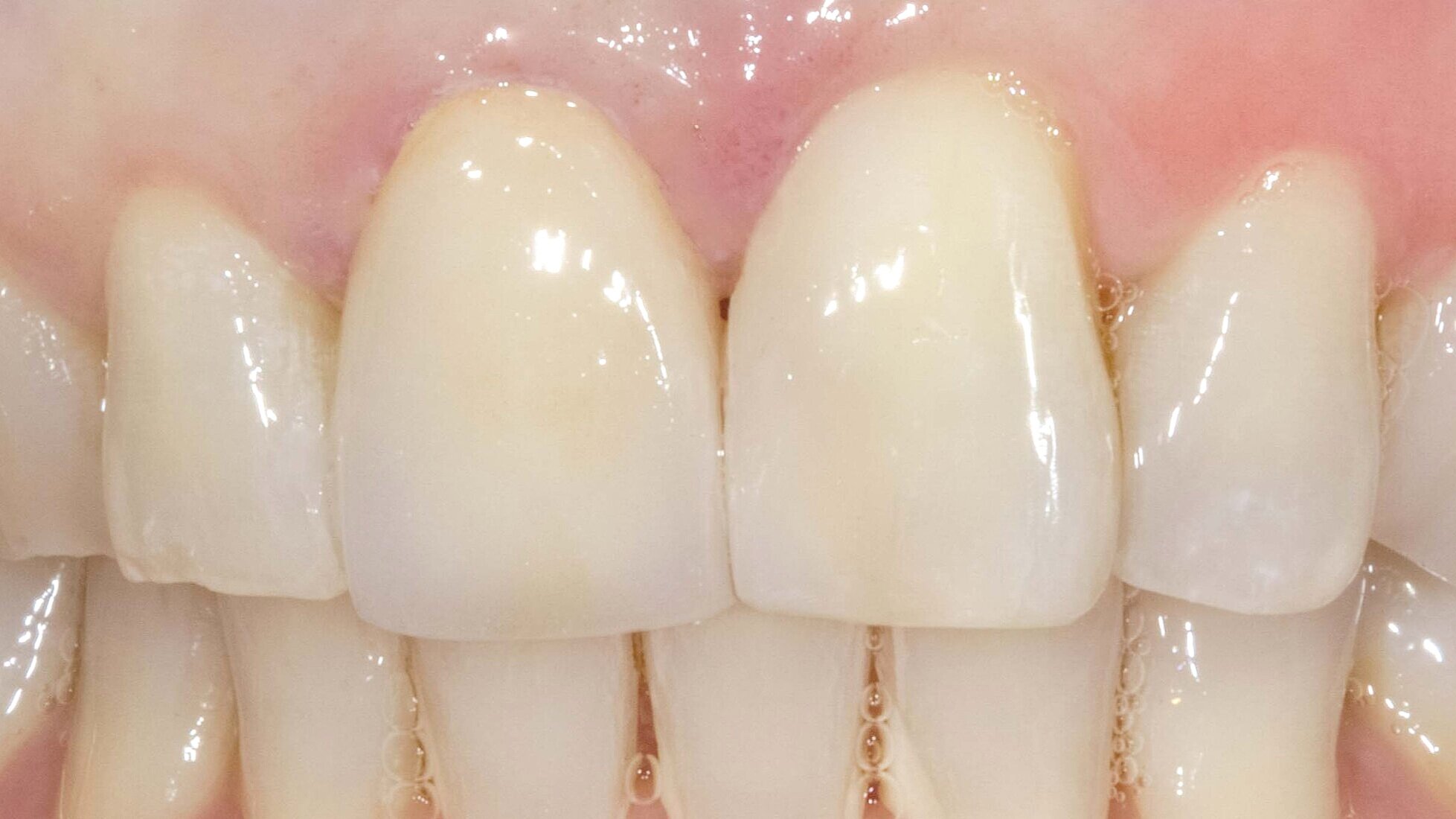
Ceramic Crowns
For this patient, the existing crown had been present for over 20 years! Using a ceramic crown and composite bonding we were able to restore her natural smile again!
Before
Before: Close up
After
After: Close up

 
                       
            