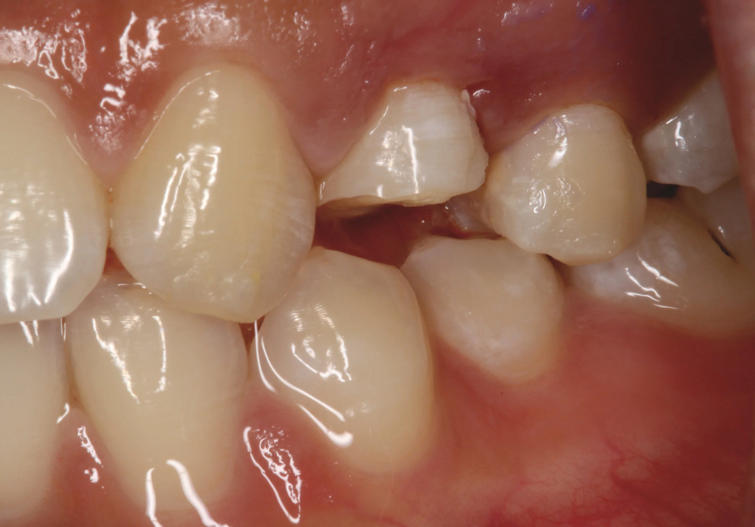
Following Root canal treatment to alleviate an infection caused by decay, the tooth has been prepared for a Ceramic onlay (click image to enlarge)
The Ceramic Onlay has been bonded to the tooth, providing a robust longterm restoration which can now be chewed upon.
